5 октября 2017, 11:15 Криминал

Иностранец пытался ввести в Чехию в своём теле 1,2 кг кокаина

Иностранец пытался ввести в Чехию в своём теле 1,2 кг кокаина
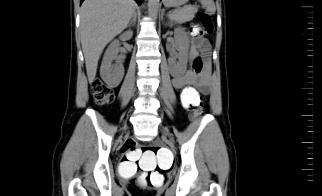
Ренген тела задержанного | Автор: Celní správa České republiky

Таможенная служба международного аэропорта Вацлава Гавела произвела задержание 48-летнего иностранного гражданина, который попытался ввезти в Чехию в своём теле 112 капсул кокаина, что соответствует 1,2 кг.

Мужчина прилетел в Прагу из Мадрида. Столичная таможенная служба располагала информацией о том, что в рейсе из Мадрида находится преступник, пытающийся ввести контрабанду. Сотрудники аэропорта изучили багаж каждого пассажира, но попался преступник только на том, что на его руках были обнаружены мельчайшие элементы наркотических веществ, затем его отправили на рентген.

«Постепенно мужчина достал из своего тела 112 капсул. Дальнейшая экспертиза показа, что это кокаин», – рассказала пресс-секретарь таможенной службы.

Похожие новости

Инцидент произошел в эти выходные в чешском городе Пльзень. В местный ресторан прибыла пара украинцев, когда девушка не спеша наслаждалась пивом, то мужчина изрядно выпивал.
Инцидент произошёл вчера вечером в районе Мельника. Полицейский патруль зафиксировал правонарушение и потребовал, чтобы легковой автомобиль остановился, но этого не произошло, нарушитель попытался скрыться.
Пражская полиция задержала 44-летнюю женщину, пытавшуюся несколько раз ограбить столичные киоски, расположенные в вестибюлях станций метро. В первый раз при попытке кражи, женщина достала нож и начала им угрожать продавщице.
В пятницу около 22:00 началась акция столичной полиции, направленная на борьбу с распитием алкоголя лицами, не достигшими совершеннолетия.
Вчера вечером в полицейском отделении чешской столицы, согласно предварительной версии следствия, сотрудник полиции совершил самоубийством. Мужчина выстрелил себе в голову из служебного оружия.
Городская полиция задержала прошлой ночью женщину, находившуюся в нетрезвом состоянии, неизвестная справляла нужду на центральной площади чешской столицы, не обращая никакого внимания на прохожих.
Катарскому принцу Хамид бин Абдал аль-Тани дали 11 месяцев и 8 дней тюремного заключения за сексуальные контакты за деньги с чешскими школьницами. В четверг без присутствия принца приговор был вынесен районным судом района Праги 2.
Необычный инцидент произошёл сегодня утром в Праге в районе Либень. Согласно данным городской полиции, 25-летний мужчина решился на прыжок с высоты 5-го этажа в тот момент, когда домой вернулся хозяин квартиры, которую тот грабил.
Городская полиция Раковника задержала двух молодых людей в возрасте 21 и 22 лет, которые разъезжали по городу на автомобиле марки Renault Thalia, надев предварительно чёрные маски, и угрожали горожанам, направляя на них оружие.
В Чехии мужчина сначала занялся сексом с барменшей, а потом обокрал её. Полиция поймала преступника благодаря записи секса на видео
Пражская полиция арестовала и выдвинула обвинения 54-летнему мужчине, который в течение минувшего лета обокрал как минимум пять квартир. На сегодняшний день органы правопорядка не исключают возможность того, что преступник побывал и в десятках...
Вчера днём в городское отделение полиции поступило сообщение о том, что в районе Праги 3 по улицам ходит абсолютно голый мужчина, который пугает горожан.