25 августа 2025, 11:15 Интервью

Smile Centrum отмечает 13 лет успеха открытием девятой клиники в Праге

Сеть стоматологических клиник Smile Centrum отпраздновала своё 13-летие открытием девятого филиала в Праге. За годы работы небольшой семейный проект вырос в крупнейшую стоматологическую сеть Чехии.

Качественная стоматология для всех

Основными принципами работы компании стали:

Все клиники оборудованы современными установками, позволяющими проводить даже самые сложные процедуры максимально безопасно, точно и комфортно.

Наиболее востребованные услуги Smile Centrum:

Первичный осмотр со снимками — бесплатно для новых пациентов по страховке.

Smile Centrum сотрудничает со всеми страховыми компаниями, а врачи клиник говорят на чешском, английском, русском, украинском и других языках.

Профилактика: ключ к здоровым зубам

Стоматологи сети напоминают: осмотр у врача следует проходить минимум раз в год, а лучше — раз в полгода. Это позволяет выявить кариес на ранней стадии и избежать дорогостоящего и болезненного лечения.

Профессиональная дентальная гигиена включает:

  1. Осмотр полости рта.

  2. Ультразвуковую чистку зубного камня.

  3. Пескоструйную обработку (AirFlow).

  4. Полировку эмали.

  5. Фторирование (реминерализацию).

Регулярные процедуры предотвращают кариес, гингивит и пародонтит, а также возвращают зубам естественную белизну.

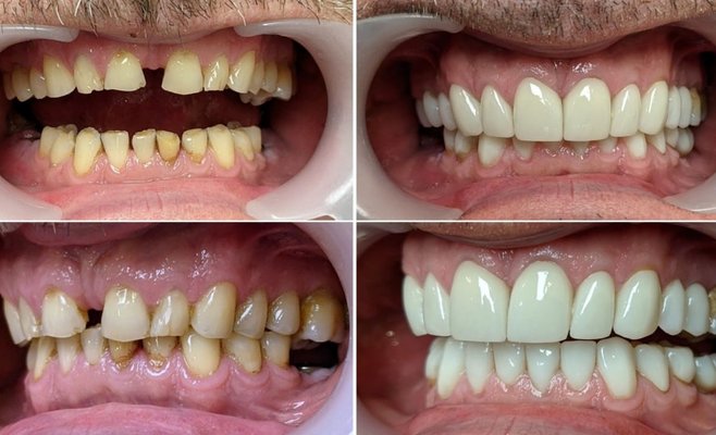
Восстановление зубов: мифы и правда

Контакты Smile Centrum

Адреса всех девяти клиник и цены на услуги доступны на сайте: smilecentrum.cz

Телефоны для записи:

Похожие новости

Меня занесло в Прагу из Казахстана 8,5 лет назад. Все достаточно банально и как “по учебнику”: годовые курсы чешского, учеба в ВШЭ, работа в корпорациях и маленьких компаниях, замужество, своё дело, ребенок…
Артем Мельников - владелец агентства недвижимости Home Real Estate.
В этот раз Around Prague решил встретиться с основательницами модного салона красоты в Праге Beauty Makers, чтобы узнать обо всех тонкостях открытия собственного бизнеса, первых шагах, трудностях и успехе, которого было крайне непросто достичь.
Каждый, кто приезжает в Чехию, сталкивается с вопросом изучения чешского языка. Многие из нас окончили годовые курсы чешского. Для кого-то это был позитивный опыт, кто-то был разочарован.
Around Prague встретился с совладельцами агентства недвижимости Home Real Estate Артёмом Мельниковым и Петром Поповым, чтобы обсудить сложившуюся на чешском рынке ситуацию.
Концертов в Праге проходит великое множество, культурная жизнь насыщенна и разнообразна. А кто стоит за организацией всех этих выступлений?
4 декабря состоялся отчетный концерт учеников вокальной студии DK. Знакомьтесь: идейные вдохновители, организаторы, педагоги студии – Денис и Катя, согласившиеся поговорить с Around Prague о концерте, студии, планах на будущее.
Hyperloop – транспортная система будущего, созданная Илоном Маском, основателем Tesla и SpaceX, через несколько лет она сможет заменить поезда. Hyperloop – капсула на воздушных подушках, которая будет перевозить пассажиров по трубе со скоростью в 1200 км/ч.
Сегодня героем нашего интервью стал молодой музыкант Глеб, барабанщик из Queen Tribute Show. Как живется молодым музыкантам в Праге, легко ли совмещать работу и любимое дело, советы начинающим исполнителям – обо всем этом мы поговорили с Глебом.
Казалось бы, что в покупке и выборе страховой компании нет ничего сложного, но это не совсем так, везде есть свои нюансы и особенности, поэтому мы решили в новом выпуске раздела «Люди» взять интервью у основателей молодой...
К сожалению, Around Prague не смог лично встретиться и пообщаться с основателем компании Eurotrips, так как её руководитель Алексей Ильяш постоянно находится в отъездах и редко бывает в Праге.
Во втором выпуске раздела «Люди» речь пойдёт о Раулане Жубанове. Этот человек не представляет своей жизни без автомобилей, с юношеского возраста он не мог отвести взгляд от красивых машин.